(+86)18061671828

HomePage > News
x-ray
Can medical X-ray machines "snap away" like cameras? Jiangsu's public data is "heading towards" the future in this way
2025-11-03
Jiaohui Dian News. Reporters learned from the Jiangsu Provincial Data Bureau that the list of practical cases of public data "in action" in counties (cities, districts) was officially released recently. Virtual power plants, public transportation, data-driven food ingredient distribution, AI-enabled enterprise services... Public data "in action" is making people's life, work, and travel more intelligent and convenient.
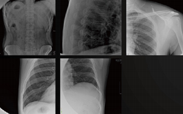
Data "speeds up" | Partnering with Beidou, the compact and convenient X-ray machine breaks through the dilemma of medical imaging
2025-11-02
A portable medical X-ray machine, roughly the same size as a DSLR camera, and the massive amounts of data it generates, are poised to transform the longstanding dilemmas in the field of medical imaging. Historically, medical institutions have faced the phenomenon of "data silos," particularly with X-ray imaging data, which has been challenging to securely and efficiently recognize and share. In the context of mobile healthcare, traditional X-ray equipment often encounters challenges such as inconsistent image quality and insufficient spatial positioning accuracy. A reporter from Ziniu News of Yangzi Evening News learned from the Jiangsu Provincial Data Bureau that this breakthrough is being developed by Space Beidou (Jiangsu) Medical Technology Ltd ..
The first large-scale cruise rescue vessel "Haixun 06" in the Taiwan Strait, escorted by Beidou, has been commissioned!
2022-07-13
On July 11th, the first large-scale cruise rescue vessel in the Taiwan Strait, the "Haixun 06", was officially commissioned in Pingtan, Fujian. It is currently the largest and most advanced official vessel in the Taiwan Strait. The vessel supports global satellite navigation systems such as the Beidou system and GPS, and is equipped with a network data center that integrates computing, storage, and communication functions. It possesses the capability for integrated data exchange, communication coordination, and joint command across "land, sea, air, and space", enabling the fusion, overlay, reporting, and distribution of electro-optical, radar, and meteorological data. Additionally, it can analyze and trace information such as command situations, comprehensive office work, and equipment status ..
The kick-off meeting for the compilation of the "BeiDou Navigation Satellite System" series and the first meeting of the editorial board were held in Beijing
2022-07-12
On July 1st, the kick-off meeting for the compilation of the "BeiDou Navigation Satellite System" series and the first meeting of the editorial committee were held in Beijing, marking the comprehensive launch of the compilation of China's first series introducing the construction achievements of the BeiDou Navigation Satellite System, which is included in the series of activities celebrating the second anniversary of the launch of the BeiDou-3 system. The series is edited by Academician Yang Changfeng, the chief designer of the BeiDou system, and specially invited Academician Sun Jiadong, Academician Tan Shusen, and Researcher Li Zuhong, senior advisors of the BeiDou system, as advisors. Led by chief engineers and authoritative experts from various systems and fields, frontline personnel involved in the system construction tasks are organized to compile the series, representing the highest standard of BeiDou system engineering construction and application practice.
China Navigation Day | The North Star guides the voyage across the vast sea
2022-07-11
Since ancient times, the Chinese nation has consistently pursued exploration and innovation. The Big Dipper guides the way, while the compass determines direction. On July 11, 1405, Chinese navigator Zheng He embarked on his first voyage to the Western Seas, embarking on a journey to promote exchanges between China and foreign countries. Today, the Beidou system, as an important national spatial infrastructure, leads the way for navigation. July 11, 2022, marks the 18th Navigation Day in China. The theme of this year's Navigation Day is "Leading the New Trend of Green, Low-Carbon, and Intelligent Navigation". Based on intelligence, agility, green and low-carbon principles, as well as safety and controllability, new infrastructure is being constructed in a coordinated, high-quality, and efficient manner, facilitating the in-depth development of Beidou applications at sea. Today, let's take a look at the various functions of the Beidou system when navigating at sea!
The maiden flight of the "Kunlong" AG600 fire-fighting aircraft, equipped with the Beidou-3 terminal and featuring a new full-state configuration, has been successful!
2022-06-08
The AG600 "Kunlong", an amphibious aircraft designed for water rescue and firefighting, successfully completed its maiden flight in Zhuhai, Guangdong Province. The aircraft was in good condition, with normal control systems and stable operation of all systems. The third AG600 aircraft was equipped with a Beidou-3 airborne terminal, where the navigation processor serves as the main navigation system of the AG600, responsible for providing the aircraft's position information; the short message processor is responsible for short message communication with ground command aircraft.
BeiDou helps highway construction in the Taklamakan Desert avoid getting lost
2022-07-05
On June 30th, the desert highway connecting Yuli County and Qiemo County in Xinjiang was officially opened to traffic. During the construction of this highway, Beidou effectively assisted workers in safe construction. As the highway is located in the Taklamakan Desert, the environment is harsh, the temperature is high, and the construction is highly dangerous. Under sandstorm weather, sand dunes move, and changes in location make it easy for workers to get lost due to the loss of reference points. Therefore, the construction site equipped each person with a positioning terminal based on the Beidou system
BeiDou service infrastructure is smart, precise, and efficient!
2022-06-24
Infrastructure refers to the physical engineering facilities that provide public services for social production and residents' lives. It is a public service system used to ensure the normal operation of national or regional socio-economic activities. Urban infrastructure generally includes road traffic systems, energy supply systems, water supply and drainage systems, urban disaster prevention systems, environmental sanitation systems, and communication systems. Currently, the application of the Beidou system in the field of infrastructure construction continues to deepen. Today, let's take a look at how the Beidou system is applied in this field!
The wheat harvest is underway in Anyang, Henan Province, with Beidou unmanned agricultural machinery completing the harvest of 1,200 acres in just one or two days!
2022-06-22
During the "Three Summers" season, the unmanned farm in Caogu Village, Laodian Town, Hua County, Anyang City, Henan Province, has achieved 100% mechanization of wheat cultivation, management, and harvesting by utilizing Beidou agricultural machinery, freeing up labor and painting a vibrant picture of an unmanned farm harvesting wheat day and night. After local agricultural machinery operators drove the unmanned harvesters and grain carriers equipped with Beidou terminals into the wheat field, the two machines worked in perfect harmony, with one harvesting and the other loading grain. Amidst the roar of the machines, they harvested 30 acres of wheat in one hour, and completed the harvesting of 1,200 acres in just one or two days.
Directly hitting the wheat harvest season in Hebei, reaping the fields with Beidou, and enjoying a bountiful harvest year!
2022-06-21
In the land of Yan and Zhao, the wind blows through the wheat fields. As the wheat in the northern Hebei Plain enters the intensive harvesting period, the progress of summer grain harvesting by machinery in Hebei Province has passed the halfway mark. In recent days, agricultural machinery based on Beidou has provided support for summer grain production in many parts of Hebei. At the Kuanle Cooperative in Yongqing County, Langfang, Hebei, over 100 sets of modern agricultural machinery such as Beidou self-driving seeders, unmanned tractors, crop protection drones, and grain drying towers have achieved intelligent farming throughout the entire process of tilling, planting, managing, and harvesting crops, ensuring efficient operations on over 10,000 mu of farmland and achieving an annual grain output of 5 million kilograms.